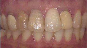
【治療前】

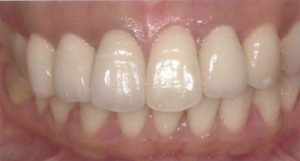
【治療後】

【治療内容】
オールセラミッククラウン(被せ物)
【費用】
15万円×4本=60万円
【治療のリスク】
歯を削らなければならない
【治療前】

【治療後】

オールセラミッククラウン(被せ物)
15万円×4本=60万円
歯を削らなければならない
当院では、患者様が抱えていらっしゃるお口のお悩みや疑問・不安などにお応えする機会を設けております。どんな事でも構いませんので、私達にお話しして頂けたらと思います。
ご興味がある方は下記からお問い合わせください。
| 診療時間 | 月 | 火 | 水 | 木 | 金 | 土 | 日 | 祝 |
|---|---|---|---|---|---|---|---|---|
| 10:30〜12:30 | ◯ | ◯ | ◯ | ◯ | ◯ | ◯ | ー | ー |
| 15:00〜20:00 | ◯ | ◯ | ◯ | ◯ | ◯ | △ | ー | ー |
【休診日】日曜・祝日
△ 土曜日の午後診療は14:00~20:00となります。
自費治療費をご紹介いたします。詳細は治療費をご参照ください。
